發布時間:2022-06-30 11:53
植入生物可吸收冠脈支架,解除小伙顧慮
山大齊魯醫院(青島)心內科成功開展了一例冠狀動脈生物可吸收支架植入術,為一位年輕患者開通了嚴重狹窄的冠狀動脈。患者王某是一位30多歲的小伙,最近一年無明顯誘因反復出現活動后胸痛,起初未在意,但近一個多月以來,患者感覺到活動后胸痛癥狀較前加重,持續時間多在1-2分鐘左右,休息后明顯緩解。患者于當地醫院先后做了冠狀動脈CT血管造影(CTA)及冠狀動脈造影,均提示冠狀動脈三支嚴重病變,當地建議患者行冠狀動脈支架植入術治療,并且需置入多枚冠狀動脈支架。患者認為自己太年輕,對于植入金屬支架有諸多顧慮,經多方查詢,來到山大齊魯醫院(青島)心內科門診咨詢。由倍安教授詳細分析了患者在外院做的造影結果,患者三根主要的冠狀動脈均有90-95%以上的狹窄,右冠狀動脈遠端完全閉塞,這些血管均需開通,否則患者還會出現心絞痛的癥狀,且長期心肌缺血會導致心衰。患者再三表示,確實無法接受植入金屬支架,于是由倍安教授提出采用藥物球囊聯合生物可吸收支架的方法來為患者進行介入手術。與患者溝通手術方案之后,患者表示信任醫生并接受治療方案。

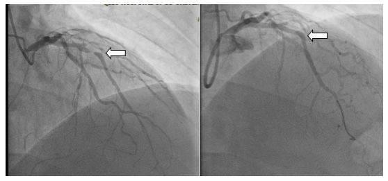
術前(左側圖)與生物可吸收支架術后(右側圖)血管血流對比圖
首先應用藥物球囊開通了完全閉塞的右冠狀動脈,隨后成功應用藥物球囊解除了回旋支的嚴重狹窄,最后在前降支嚴重狹窄處成功植入生物可降解支架1枚,手術過程順利。術后,患者三支主要的冠狀動脈均順利完成再灌注治療,血管狹窄完全解除,患者癥狀明顯緩解。
冠狀動脈生物可吸收支架有哪些優勢?
冠狀動脈生物可吸收支架有效避免了金屬支架植入后血管僵硬度增加的風險,手術后1-3年,體內支架可完全降解,基本恢復病變血管的彈性舒縮功能,實現血管再造的效果,且體內不遺留其他成分,避免眾多患者的異物擔憂。生物可吸收支架便于二次介入干預及外科冠狀動脈旁路移植手術。此外,由于生物降解支架不含金屬材料,不影響患者進行CT、MRI等檢查,被譽為經皮冠狀動脈介入治療領域的第四次變革。
藥物涂層球囊有哪些優勢?
藥物涂層球囊作為一項新的介入技術逐步用于臨床,其通過帶有藥物的球囊,向冠狀動脈血管壁狹窄局部釋放抗增殖藥物,從而達到抑制血管內膜增生的效果。與藥物涂層支架相比,其無聚合物基質和金屬網格留置體內,減少了內膜炎癥反應,大大降低血栓形成風險,并可縮短雙聯抗血小板治療的時間( 術后僅需1-3個月雙聯抗血小板治療)。已有多項臨床研究證實,藥物涂層球囊治療支架內再狹窄病變的療效與藥物涂層支架療效相當,同時也因沒有異物置入,較藥物涂層支架優勢明顯。除了支架內再狹窄病變,隨著相關臨床研究的深入,藥物涂層球囊開始逐步用于小血管病變及分叉病變。
冠脈生物可降解支架植入術及冠脈藥物球囊技術的開展,標志著心內科冠狀動脈介入治療已進入“介入無植入”時代。