什么是杠杆股票交易-看股市财经评论什么软件好-【东方资本】,手机炒股开户怎么开户流程视频,股票上午卖下午能取钱吗,otc证券开户条件
首頁
關于我們
關于華安
管理團隊
員工風采
企業榮譽
發展歷程
新聞資訊
公司新聞
行業動態
產品中心
解決方案
招賢納士
招聘理念
招聘信息
聯系我們
中文
/
EN
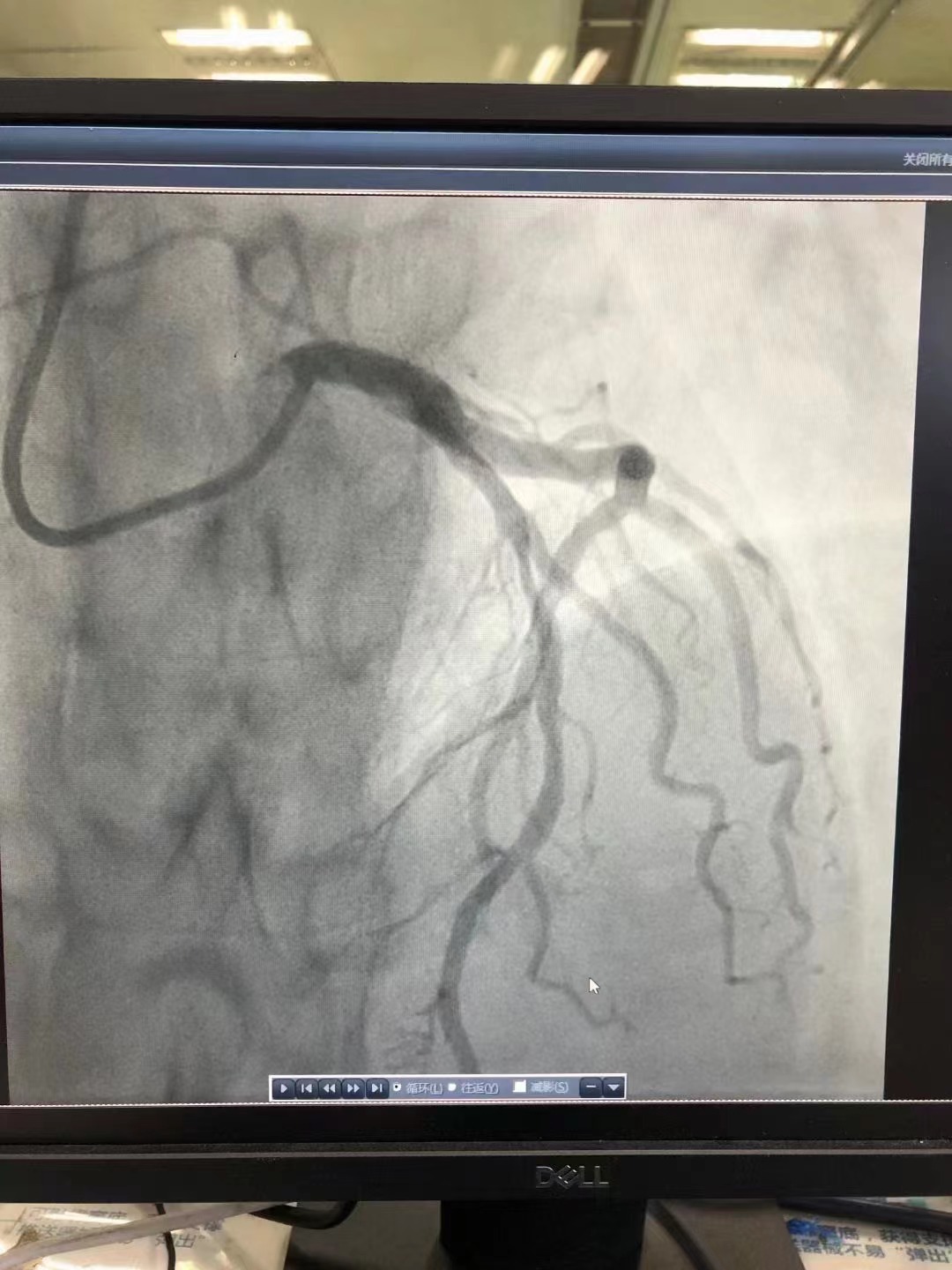
祝賀昆明醫科大學第一附屬醫院心內科王啟賢主任團隊成功為一位年輕患者植入一枚Xinsorb生物可吸收支架!
發布時間:2021-11-10 16:17
完美修復 心歸自然
祝賀 昆明醫科大學第一附屬醫院心內科王啟賢主任團隊成功為一位年輕患者植入一枚Xinsorb生物可吸收支架!
上一個:
第23屆CIIF大獎入圍18強名單重磅出爐,XINSORB入圍!
下一個:
祝賀新疆首例Xinsorb生物可吸收支架成功植入!